Прислать материал

Врачи ОКБ смогли вылечить 92-летнюю пациентку с 60% поражения лёгких

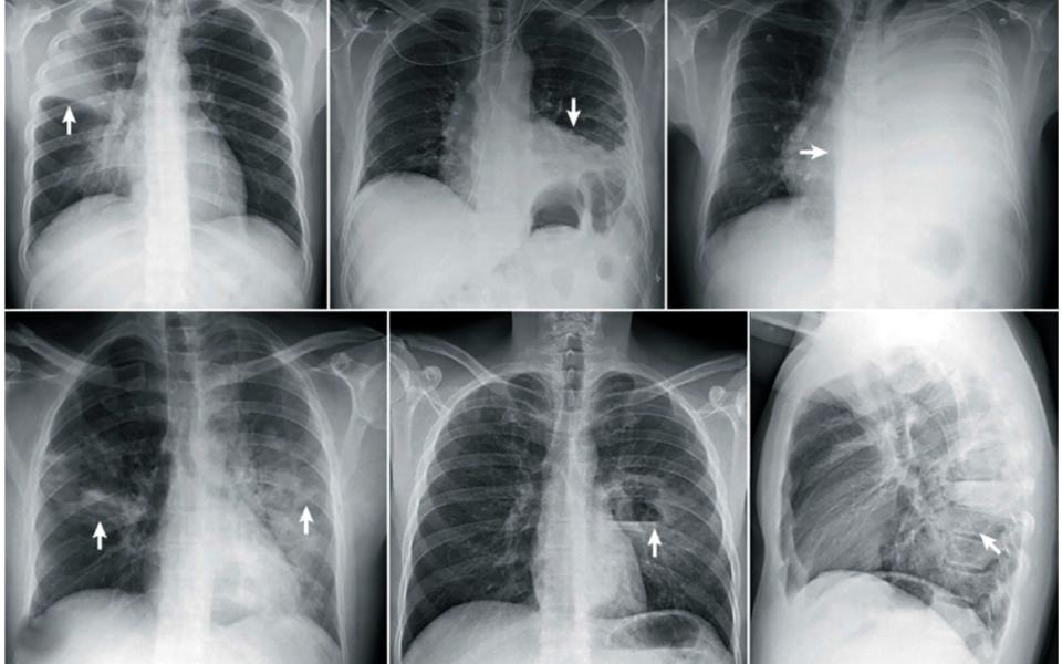
92-летняя пациентка после многодневной борьбы за жизнь благодаря врачам ОКБ смогла вылечиться от пневмонии. Об этом сообщили в пресс-службе медицинского учреждения.

Пациентка пришла в 14-ю городскую поликлинику с жалобами на затруднённое дыхание. Терапевт заподозрил пневмонию: при аускультации стали слышны влажные мелкопузырчатые хрипы. Бригада скорой помощи направила пациентку в ОКБ. Там в ходе обследования лёгких выявили двустороннюю пневмонию средней степени тяжести. Лёгкие были поражены на 60%. Ситуацию осложняло и то, что у пациентки был диабет 2 типа.

Пенсионерку пришлось подключить к аппарату ИВЛ. Врачи боролись за её жизнь в течение 20 дней. Терапия сработала: пациентка начала чувствовать себя лучше. Вскоре она смогла самостоятельно ходить по палате и даже выходить на прогулки в сопровождении родственников.

Когда состояние лёгких улучшилось, бабушку выписали.

Больше новостей в нашем Telegram-канале и в группе ВКонтакте. Подписывайтесь - и будьте в курсе главных событий.

Иллюстрации:  ОКБ

служба по контракту