Прислать материал

В Рязани мужчина едва не попал в ДТП из-за инфаркта

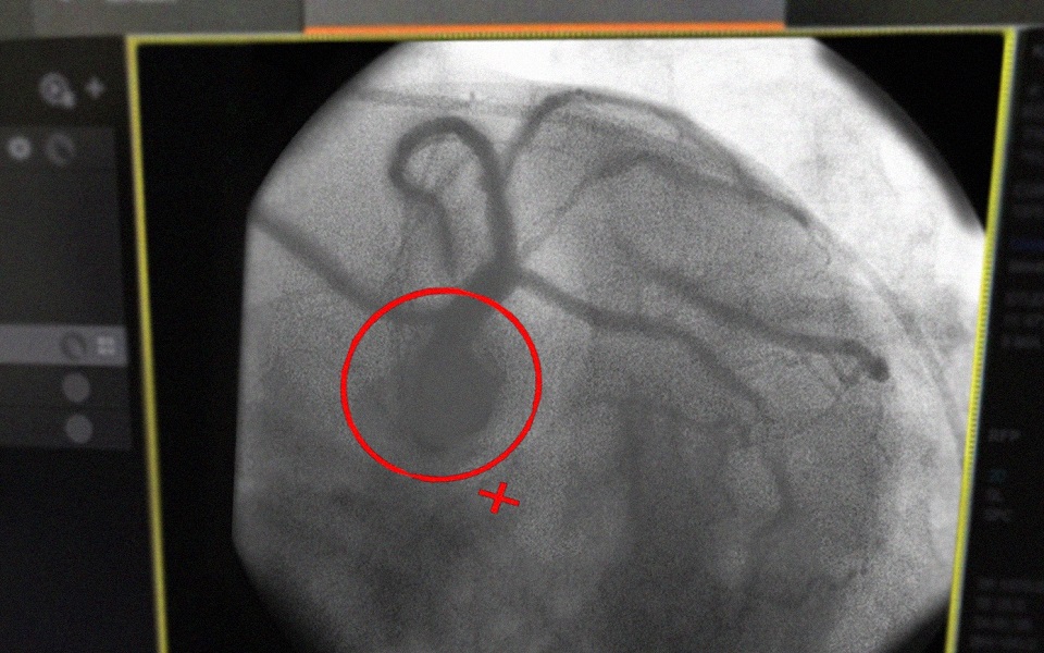
В Рязанской ОКБ врачи оказали помощь 42-летнему мужчине с инфарктом. Об этом сообщили в соцсетях учреждения.

С утра у рязанца была слабость, однако он сел за руль автомобиля, решив, что это из-за долгого сна и отсутствия завтрака. В дороге состояние у него ухудшилось, что едва не привело к ДТП – машина чуть не врезалась в столб.

Прохожие вызвали бригаду скорой помощи, которая доставила мужчину в больницу, где диагностировали инфаркт. Пациенту провели операцию по установке стента.

В настоящее время рязанец чувствует себя лучше, он выписан под наблюдение по месту жительства.

Больше новостей в нашем Telegram-канале и в группе ВКонтакте. Подписывайтесь - и будьте в курсе главных событий.

Иллюстрации:  Минздрав Рязанской области

служба по контракту